Es gibt viele Gründe, die gegen den Verzehr von tierischen Produkten sprechen. Weder sind sie unserer Gesundheit zuträglich noch unserem spirituellen Wachstum förderlich, im Gegenteil. Der beste Beweis dafür ist unser Körper.
Da das Gebiss das offensichtlichste Merkmal eines Lebewesens ist, für welche Art von Nahrung es ausgelegt ist, beginne ich die Physiologie-Reihe – durch die du erfahren wirst, warum Veganismus keine Neuerfindung, sondern eine logische Schlussfolgerung ist – mit ihm.
Das Gebiss
Jedes Lebewesen verfügt über ein Gebiss, das ihrer artspezifischen Nahrung entspricht (wobei die Nahrungswahl bei Tieren auch durch Umwelteinflüsse, Krankheiten, Lebensumstände bestimmt sein kann, z. B. Löwin „Little Tyke“; jedoch gehe ich hier rein auf die physische Komponente ein). Die Gebissausbildungen lassen sich in vier große Gruppen einteilen (bei denen es nochmals Unterkategorien gibt): Fleischfressergebiss (z. B. Katzen und Hunde), Allesfressergebiss (z. B. Schweine und Bären), Pflanzenfressergebiss (das Unterschiede im Aufbau aufweisen kann: siehe beispielsweise Pferd und Eichhörnchen) und Fruchtessergebiss (Affen).
Der Gebiss sieht bei Säugetieren im Wesentlichen gleich aus, indem es aus Schneidezähne, Eckzähne und Backenzähne besteht.
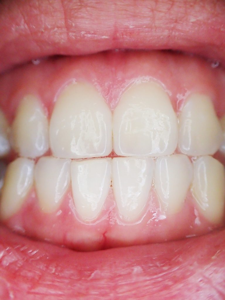
Menschliche Zähne vs. Zähne fleischfressender Tiere
Schauen wir uns unser Gebiss genau an, erkennen wir, dass im vorderen Kieferbereich Schneidezähne und im seitlichen Kieferbereich flache Backenzähne sitzen. Vergleichen wir das menschliche Gebiss mit dem von fleischfressenden Tieren, stellen wir fest, dass wir keine scharfen und spitzen Zähne besitzen. Selbst die für uns oft als Argument angesehenen, menschlichen Eckzähne sind in keiner Weise ernst zu nehmen, wenn wir die langen, kräftigen Eckzähne (Reißzähne!) von Tieren betrachten, die sich (teilweise) von Fleisch ernähren. Hinzukommt, dass die Backenzähne bei reinen Fleischessern ebenso spitz sind wie die restlichen Zähne; unsere sind stumpf.
Wir Menschen sind nicht in der Lage rohes, zähes Fleisch mit unseren Zähnen zu zerreißen – von Knochen zernagen ganz zu schweigen. Das bedeutet, dass unsere Zähne nicht für Fleisch konzipiert sind. Die anfängliche Beobachtung unseres Gebisses zeigt deutlich, dass unsere Zähne zum Abbeißen und Zermahlen gedacht sind – für pflanzliche Kost! Weitere Beobachtungen lassen ebenfalls keinen anderen Schluss zu

Unser Kiefer vs. Kiefer fleischfressender Tiere
Unser Unterkieferknochen im Kiefergelenk ist drehbar gelagert und ermöglicht eine horizontale Kaubewegung. Diese Kieferkonstruktion haben wir mit den pflanzenfressenden sowie fruchtessenden Tieren gemeinsam. Allesfresser und Fleischfresser haben starr gelagerte Kiefer, die spitz zulaufen und nur auf- und abwärts gerichtete Schnappbewegungen erlauben. Ihre Unterkiefer sitzen im Inneren des Oberkiefers; unsere Unterkiefer sowie die von Pflanzenfressern und Fruchtessern setzen an der Unterseite des Oberkiefers an.
Auch verfügen wir im Gegensatz zu Fleischfressern und Allesfressern weder über schwere Kieferknochen noch über sehr kräftige Kaumuskeln.
Mit unserem vergleichsweise kleinen Mund könnten wir also niemals ein Lebewesen erlegen, sein Fleisch von den Knochen ablösen und die Knochen zum Schluss zu zerbrechen.
Fleischfressergebiss
Das Gebiss von Raubtieren ist durch eine Scherenstruktur bestimmt, die neben den ausgeprägten Eckzähnen ein spezifisches Merkmal ist. Die Schneidezähne fallen äußerst klein und flach aus, damit Fleischreste abgeschabt werden können. Der hintere Teil der Backenzähne im Oberkiefer weisen scharfkantige Höcker auf, während der vordere Teil breit ist – perfekt um Fleisch zu zerschneiden und Knochen zu zermalmen. Die Kieferkonstruktion ist daran angepasst, sodass eine seitliche Kaubewegung nicht möglich ist. Die Zähne gleiten wie die Klingen einer Schere aneinander vorbei.

Allesfressergebiss
Das Gebiss von Omnivoren (Allesfressern) ist von spitzen Eckzähnen und scharfen Schneidezähnen gekennzeichnet. Die Backenzähne sind breit und weisen viele Höcker auf.

Unser Speichel/ unsere Zunge vs. Speichel und Zunge von fleischfressenden Tiere

Hinzu kommt, dass das Hauptenzym in unserem Speichel (Ptyalin) für den Zweck da ist, die komplexen Kohlenhydrate in pflanzlicher Nahrung in Glucose abzuspalten, die unserer Energiezufuhr dient. Kohlenhydrate bzw. Glucose sind der Brennstoff, für den unser Körper konzipiert ist. In Fleisch ist nichts von diesem Brennstoff enthalten (siehe Warum Fruchtzucker gesund ist). Fleischfressende Tiere besitzen dieses Enzym nicht. Stattdessen ist ihr Speichel besonders sauer, um Eiweiß aus Fleisch aufzuspalten, wohingegen unserer – vorausgesetzt, wir sind durch falsche Ernährung nicht übersäuert – basisch ist.
Ein weiterer Unterschied findet sich in den Speicheldrüsen und der Zunge: Wir verfügen über große Speicheldrüsen, fleischfressende Tiere wie Carnivore und Omnivore über kleine. Unsere Zunge ist nur geringfügig rau (vergleichsweise glatt) und muskulös, die von Carnivores und Omnivores sind rau und dünn.
Um das restliche Fleisch von den Knochen zu lösen, das vorher abgerissen wurde, kommt bei Carnivoren (reine Fleischfresser wie Katzen) die äußerst raue Zunge zum Einsatz, an der das Fleisch einfach hängen bleibt.

Fazit
Reflektieren wir diese Tatsachen, wird ersichtlich, dass das offensichtlichste Werkzeug zum Essen bei uns vollkommen anders entwickelt ist als das von Tieren, die in der Natur Fleisch fressen. Die Schlussfolgerung, die wir daraus ziehen müssen, ist, dass wir nicht für den Verzehr von Fleisch, egal in welcher Form, ausgelegt sind. Überprüfen wir zusätzlich noch unser Essverhalten und vergleichen es mit dem von Tieren, zeigt sich, dass wir unsere Nahrung weder schlingen noch zerquetschen, so wie es fleischfressende Tiere tun. Im Gegenteil, wir kauen unsere Nahrung gemächlich – was wir, wie ausgeführt, mit rohem Fleisch niemals tun könnten; geschweige denn, dass wir es mit unserem Mund (und anderen Körperteilen) überhaupt hätten erlegen können.
Wem ähnelt unser Gebiss?
Die Frage, die nun aufkommt, ist, über welches Gebiss Menschen verfügen. Die Antwort kommt zeitnah in einem gesonderten Teil.
Bücher:
McDonald, D. (Hrsg.): Die große Enzyklopädie der Säugetiere (2004).

